Blog

Suggerimenti clinici per l’applicazione di Chlosite gel con Bi-Clorexidina e Xantano

Gianluca Garzetti*, Magda Mensi*, Antonino Palazzolo** 

Le malattie parodontali e peri-implantari sono condizioni di grande impatto per la loro elevata prevalenza e per il rilevante impatto negativo sulla salute sistemica, sulla qualità della vita correlata alla salute orale e sul benessere sociale1-4. Se non trattata, la parodontite può portare alla distruzione dei tessuti di sostegno del dente e, infine, alla perdita dei denti. Analoghi effetti possono subire gli impianti dentali affetti da una forma di malattia peri-implantare5. La terapia parodontale non chirurgica (NSPT), è universalmente riconosciuta come una pietra miliare nella parodontologia per il fatto che una componente fondamentale del trattamento parodontale è la disgregazione del biofilm patogeno6. Tuttavia l’intera eliminazione dei batteri potrebbe non essere efficacemente raggiunta dalla sola terapia non chirurgica a causa delle peculiarità dei patogeni parodontali e del loro annidamento in nicchie profonde e difficilmente accessibili. Per superare queste limitazioni, numerosi agenti antimicrobici vengono utilizzati come terapia aggiuntiva per il controllo della malattia parodontale e peri-implantare7, 8.
 

A tal proposito, nel corso degli anni, sono state testate diverse terapie con antimicrobici topici e sistemici, probiotici, farmaci antinfiammatori e micronutrienti antiossidanti. Ad oggi, gli antimicrobici locali sono disponibili sul mercato sotto forma di gel, chips, fibre o microsfere e vengono applicati in siti non trattati o trattati caratterizzati da scarsa risposta o in caso di malattia refrattaria8-15 con lo scopo principale di provvedere la ritenzione a lungo termine di un farmaco altamente concentrato all’interno del tessuto bersaglio16. Infatti, a differenza dei regimi farmacologici sistemici, i farmaci somministrati localmente possono raggiungere concentrazioni 100 volte superiori alla base della tasca senza rischio di tossicità e senza il rischio di sviluppare tolleranza o resistenza batterica17, 18. Tra gli antimicrobici, la clorexidina (CHX) è considerata il gold standard con una lunga storia in medicina poiché introdotta nel 1953 come crema antisettica19-21. È caratterizzata da proprietà antiplacca, attività antimicrobica, sostantività e scarsa tossicità22.

Nel campo dell’odontoiatria è disponibile in una molteplicità di veicoli e formulazioni come collutori, gel, spray, compresse e vernici. Trattenerla all’interno dei tessuti molli per un periodo di tempo adeguato è da sempre stato uno dei più difficili obiettivi da raggiungere19; per questo viene solitamente combinata con diverse molecole/veicolanti al fine di ottimizzarne l’attività. Una di queste è rappresentata dallo xantano, un polisaccaride in grado di formare uno pseudoreticolo tridimensionale quando posto in soluzione acquosa e dunque di sospendere e trattenere numerose sostanze, rilasciandole gradualmente in base alle loro proprietà fisiche e chimiche23, 24. Sebbene alcuni studi abbiano dimostrato vantaggi aggiuntivi utilizzando tali agenti/dispositivi, il valore clinico concreto di questi effetti e il rapporto costi-benefici di questi trattamenti sono stati e sono oggetto di dibattito che ulteriori RCT e revisioni sistematiche sapranno chiarire. Lo scopo di questo articolo è di fornire dei consigli pratici applicabili in alcune situazioni della clinica odontoiatrica quotidiana.

Chlosite: Indicazioni d’uso e modalità di applicazione

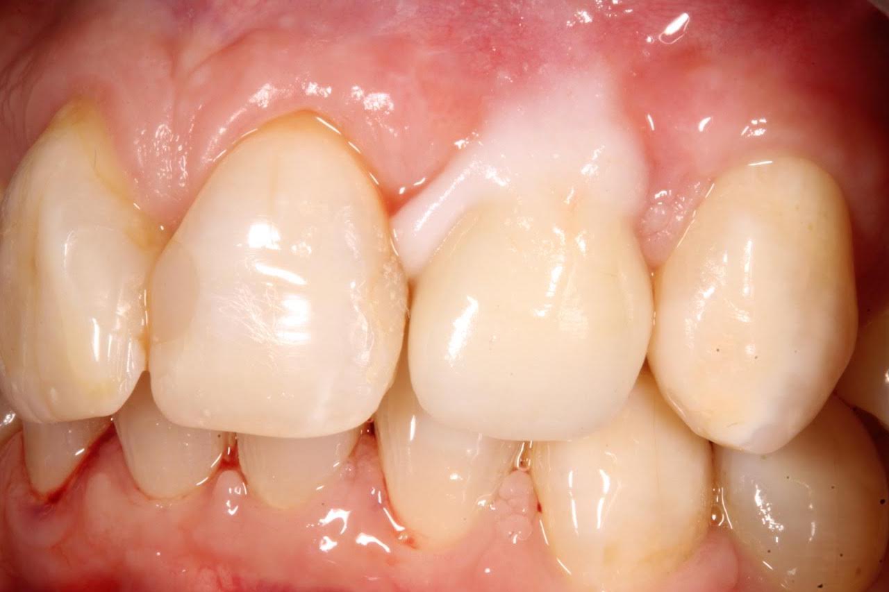
Il gel di clorexidina a base di xantano CHLOSITE è in grado di subire un progressivo processo di imbibizione e rimozione completa in 10-30 giorni, è una combinazione di due formulazioni CHX: 0,5% digluconato e 1,0% dicloridrato incorporate in un polimero saccaridico, lo xantano. La prima viene liberata nel primo giorno e raggiunge una concentrazione >100 μg/ml, che viene mantenuta per una media di 6-9 giorni, superiore alla concentrazione minima inibente per CHX (0,10 μg/ml). La seconda viene invece rilasciata nei giorni successivi e mantiene le concentrazioni batteriostatiche e battericide per almeno 2 settimane25. In quanto coadiuvante alla terapia non chirurgica il gel è in grado di esprimere la sua massima efficacia solo al termine della strumentazione favorendo una guarigione più rapida o il ripristino di una condizione di salute26. A questo aspetto pratico va aggiunta le necessità di un trofismo tissutale adeguato al contenimento del gel stesso, in modo tale da poterne garantire la permanenza per il periodo adeguato di tempo.

L’applicazione di CHLOSITE è possibile in totale autonomia anche da parte degli igienisti dentali, risulta essere particolarmente pratica e non complicata:

  • terminare la strumentazione non chirurgica;
  • applicare posizionandosi con l’ago smusso sul fondo della tasca ed estrudere gentilmente il prodotto accompagnando con un movimento di fuoriuscita dalla tasca;

estrudere il prodotto in eccesso in modo da accertarsi abbia riempito in toto lo spazio tridimensionale del difetto parodontale;

 
  • rimuovere gli eccessi con un cotton brush;
  • rendere edotto il paziente circa particolari manovre di mantenimento domiciliare nei giorni successivi.

A testimonianza della sicurezza di CHLOSITE, l’evidenza scientifica riguardante potenziali effetti avversi secondari all’applicazione di clorexidina (es. cambiamento nella percezione del gusto, pigmentazioni ai denti, etc.) è mancante e, al momento, nessuno studio ha indagato le Patient Related Outcome MEASURES (PROMs). L’unica controindicazione è l’applicazione del prodotto in pazienti con acclarate forme di allergia e/o intolleranza nei confronti della clorexidina.

CHLOSITE nella terapia parodontale non chirurgica
Molti studi hanno evidenziato un benefit in termini di profondità di sondaggio (PPD) e guadagno di attacco clinico (CAL), l’utilizzo di CHLOSITE come aggiunta alla terapia parodontale non chirurgica in pazienti affetti da malattia parodontale con conseguente riduzione della necessità di intervento chirurgico e tutte le morbilità ad uso associate27-29. Più nel dettaglio, Matesanz-Perez et al.30 hanno utilizzato CHLOSITE sia nelle tasche residue dopo una prima fase di terapia parodontale non chirurgica sia in pazienti sottoposti a terapia parodontale di supporto osservando miglioramenti nella PPD, specialmente tra l’intervallo di 1 mese e 3 mesi. Tuttavia l’effetto da un punto di vista clinico nel medio e lungo termine, anche quando statisticamente significativo, è ancora oggetto di dibattito. Un aspetto interessante da indagare resta l’effetto applicativo di CHLOSITE in pazienti anziani, con patologie sistemiche e/o con limitazioni alle ordinarie manovre di igiene orale domiciliare per meglio direzionare le proposte terapeutiche all’interno della quotidianità clinica.

CHLOSITE nel trattamento della gengivite
La gengivite placca indotta è generalmente considerata un’infiammazione sito-specifica transitoria iniziata dall’accumulo di biofilm dentale e caratterizzato da arrossamento gengivale, edema e assenza della perdita di attacco parodontale31. Lo stravolgimento morfo-funzionale, biofilm indotto dell’attacco epiteliale, rispetto alle condizioni di salute, crea uno spazio tridimensionale ideale32 per l’applicazione e il mantenimento nei giorni successivi, di CHLOSITE. Studi randomizzati circa l’effetto aggiuntivo alla terapia parodontale non chirurgica di CHLOSITE potrebbero evidenziare, secondo l’opinione degli autori, un benefit clinicamente apprezzabile in termini di tempistiche e qualità della guarigione del sito affetto da gengivite placca indotta. Un aspetto interessante da indagare resta l’effetto applicativo di CHLOSITE gel in pazienti affetti dalle forme di gengivite non indotte da placca, con l’obiettivo di valutarne l’effetto in termini di riduzione del BOP score.

CHLOSITE gel nel trattamento della mucosite - prevenzione peri-implantite

La mucosite peri-implantare è caratterizzata da infiammazione nel compartimento dei tessuti molli, reversibile se viene attuato un adeguato controllo della placca batterica; studi scientifici riportando che la persistenza di questa situazione clinica possa evolvere in peri-implantite. La terapia non chirurgica in combinazione con il rafforzamento dell’igiene orale è considerata un trattamento standard non solo per la per la gestione della mucosite peri-implantare ma anche per la prevenzione di una patologia che possa portare a danni irreversibili a carico di tutto il tessuto osseo peri-implantare33-35. Da tempo nuovi metodi per migliorare le capacità di decontaminazione della superficie implantare sono stati testati anche in combinazione con diverse aggiunte al mero trattamento non chirurgico36; fra questi alcuni RCT dove sono stati applicati antisettici e antibiotici locali hanno dimostrato risultati talvolta incoraggianti circa l’efficacia in termini di riduzione del sanguinamento al sondaggio (BOP) e riduzione della PPD.

L’importante eterogeneità dei prodotti utilizzati e la difficoltà degli stessi a permanere all’interno del sito patologico interessato, potrebbero essere stati un limite all’effetto degli stessi: un prodotto quale CHLOSITE, grazie alle sue capacità di permanenza maggiori, potrebbe estrinsecare un effetto molto più significativo in termini di benefit clinico. Ulteriori lavori randomizzati controllati dovrebbero essere costruiti e realizzanti per fornire una risposta sempre più efficace per una malattia con un incidenza in aumento. A tal proposito un aspetto interessante da indagare sarebbe l’effetto su BOP e sulla stabilità ossea post applicazione di CHLOSITE all’interno dell’impianto prima del posizionamento del restauro protesico.

Conclusioni
CHLOSITE è statuto dimostrato essere un prodotto ergonomico e sicuro con diversi campi di applicazione nel trattamento e prevenzione di alcune problematiche parodontali e peri-implantari. Diversi lavori suggeriscono la strutturazione di trials clinici per valutare l’efficacia di CHLOSITE nei pazienti sani e con patologie sistemiche affetti da parodontite e peri-implantite per poterne meglio identificare le indicazioni applicative.

Bibliografia

  1. Derks J, Tomasi C. Peri-implant health and disease. A systematic review of current epidemiology. J Clin Periodontololgy 2015;42(Suppl 16):S158–71.
  2. Kassebaum, N. J., Bernabe, E., Dahiya, M., Bhandari, B., Murray, C. J., & Marcenes, W. (2014). Global burden of severe periodontitis in 1990–2010: A systematic review and meta-regression. Journal of Dental Research, 93, 1045–1053. https://doi.org/10.1177/00220 34514552491.
  3. Ferreira, M. C., Dias-Pereira, A. C., Branco-de-Almeida, L. S., Martins, C. C., & Paiva, S. M. (2017). Impact of periodontal disease on quality of life: A systematic review. Journal of Periodontal Research, 52, 651–665. https://doi.org/10.1111/jre.12436.
  4.  Sanz, M., Ceriello, A., Buysschaert, M., Chapple, I., Demmer, R. T., Graziani, F., ... Vegh, D. (2018). Scientific evidence on the links be- tween periodontal diseases and diabetes: Consensus report and guidelines of the joint workshop on periodontal diseases and dia- betes by the International Diabetes Federation and the European Federation of Periodontology. Journal of Clinical Periodontology, 45, 138–149. https://doi.org/10.1111/jcpe.12808.
  5.  Lindhe J, Meyle J; Group D of European Workshop on Periodontology. Peri-implant diseases: Consensus Report of the Sixth European Workshop on Periodontology. J Clin Peri- odontol 2008;35(Suppl):282–5.
  6.  Badersten, A., Nilvéus, R., & Egelberg, J. (1981). Effect of nonsurgical periodontal therapy. I. Moderately advanced periodontitis. Journal of Clinical Periodontology, 8, 57–72. https://doi.org/10.1111/j.1600- 051X.1981.tb02024.x.
  7.  Paul TP, Emmatty R, Pulikkottil JJ, et al. Comparative evaluation of sustained release collagen device containing 5% metronidazole (metrogene) along with and without scaling and root planing at regular intervals with treatment of chronic periodontitis: a case control study. J Int Oral Health 2015;7(6):18–22.
  8.  John, Gordon et all Non-surgical treatment of peri-implant mucositis and peri-implantitis at two-¬piece zirconium implants: A clinical follow-up observation after up to 3 years. Journal of Clinical Periodontology 2017; 44 (7) 756-761.
  9.  Goodson JM, Hogan PE, Dunham SL. Clinical Responses Following Periodontal Treatment by Local Drug Delivery. J Periodontol. 1985 Nov;56 Suppl 11S:81-87.doi: 10.1902/jop.1985.56.11s.81. PMID: 29538940.
  10.  Kaushik R, Yeltiwar RK, Pushpanshu K. Salivary interleukin- 1β levels in patients with chronic periodontitis before and after periodontal phase I therapy and healthy controls: A case- control study. J Periodontol 2011;82:1353-9.
  11.  Bonito, A. J., Lux, L., & Lohr, K. N. (2005). Impact of local adjuncts to scaling and root planing in periodontal disease therapy: A system- atic review. Journal of Periodontology, 76, 1227–1236. https://doi. org/10.1902/jop.2005.76.8.1227.
  12.  Hanes, P. J., & Purvis, J. P. (2003). Local anti-infective therapy: Pharmacological agents. A systematic review. Annals of Periodontology, 8, 79–98. https://doi.org/10.1902/annals.2003.8.1.79.
  13.  Herrera, D., Matesanz, P., Bascones-Martínez, A., & Sanz, M. (2012). Local and systemic antimicrobial therapy in periodontics. Journal of Evidence-Based Dental Practice, 12, 50–60. https://doi.org/10.1016/ S1532-3382(12)70013-1.
  14.  Matesanz P, Herrera D, Echeverría A, O’Connor A, González I, Sanz M. A randomized clinical trial on the clinical and microbiological efficacy of a xanthan gel with chlorhexidine for subgingival use. Clin Oral Investig. 2013 Jan;17(1):55-66. doi: 10.1007/s00784-012-0685-5. Epub 2012 Feb 16. PMID:22350036.
  15.  Smiley, C. J., Tracy, S. L., Abt, E., Michalowicz, B. S., John, M. T., Gunsolley, J., ... Hanson, N. (2015). Systematic review and meta-analysis on the nonsurgical treatment of chronic periodontitis by means of scaling and root planing with or without adjuncts. Journal of the American Dental Association, 146, 508–524. https://doi.org/10.1016/j. adaj.2015.01.028.
  16.  Gupta SC. Local drug delivery in periodontics. Ind J Dent Sci 2010;2:32‐4.
  17.  Dodwad V, Vaish S, Mahajan A, Chhokra M. Local drug delivery in periodontics: A strategic intervention. Int J Pharm Pharm Sci 2012;4:30‐4.
  18.  Rams, T. E., & Slots, J. (1996). Local delivery of antimicrobial agents in the periodontal pocket. Periodontology, 10, 139–159. https://doi. org/10.1111/j.1600-0757.1996.tb00072.x.
  19.  Eley BM. Antibacterial agents in the control of supragingival plaque—a review. Br Dent J. 1999 Mar 27;186(6):286-96. doi: 10.1038/sj.bdj.4800090.
  20.  Foulkes DM. Some toxicological observations on chlorhexidine. J Periodontal Res Suppl. 1973;12:55-60. doi: 10.1111/j.1600-0765.1973.tb02165.x. PMID: 4269600.
  21.  Karpinski TM, Szkaradkiewicz AK. Chlorhexidine - pharmaco-biological activity and application. European Review for Medical and Pharmacological Sciences 2015;19(7):1321-6. 22.
  22. Jones CG. Chlorhexidine: is it still the gold standard? Periodontol 2000. 1997 Oct;15:55-62. doi: 10.1111/j.1600-0757.1997.tb00105.x. PMID: 9643233.
  23.  Rusu D, Benta A, Necker A. Non-surgical periodontal therapy using a novel chlorhexidine based xanthan gel; A split mouth study. Int Poster J Dent Oral Med 2005;7:286-91.
  24.  Baehni PC, Takeuchi Y. Anti-plaque agents in the prevention of biofilm-associated oral diseases. Oral Dis 2003;9(Suppl 1):23-9.
  25.  Jain M, Dave D, Jain P, Manohar B, Yadav B, Shetty N. Efficacy of xanthan based chlorhexidine gel as an adjunct to scaling and root planing in treatment of the chronic periodontitis. J Indian Soc Periodontol. 2013 Jul;17(4):439-43. doi: 10.4103/0972-124X.118313. PMID: 24174721; PMCID: PMC3800404.
  26.  Jeffcoat MK, Bray KS, Ciancio SG, Dentino AR, Fine DH, Gordon JM, Gunsolley JC, Killoy WJ, Lowenguth RA, Magnusson NI, Offenbacher S, Palcanis KG, Proskin HM, Finkelman RD, Flashner M. Adjunctive use of a subgingival controlled-release chlorhexidine chip reduces probing depth and improves attachment level compared with scaling and root planing alone. J Periodontol. 1998 Sep;69(9):989-97. doi: 10.1902/jop.1998.69.9.989. PMID: 9776027.
  27.  Paolantonio M, D’Ercole S, Pilloni A, D’Archivio D, Lisanti L, Graziani F, Femminella B, Sammartino G, Perillo L, Tetè S, Perfetti G, Spoto G, Piccolomini R, Perinetti G. Clinical, microbiologic, and biochemical effects of subgingival administration of a Xanthan-based chlorhexidine gel in the treatment of periodontitis: a randomized multicenter trial. J Periodontol. 2009 Sep;80(9):1479-92. doi: 10.1902/jop.2009.090050. PMID: 19722799.
  28.  Gupta R, Pandit N, Aggarwal S, Verma A. Comparative evaluation of subgingivally delivered 10% doxycycline hyclate and xanthan-based chlorhexidine gels in the treatment of chronic periodontitis. J Contemp Dent Pract. 2008 Nov 1;9(7):25-32. PMID: 18997913.
  29.  Chitsazi MT, Kashefimehr A, Pourabbas R, Shirmohammadi A, Ghasemi Barghi V, Daghigh Azar B. Efficacy of Subgingival Application of Xanthan-based Chlorhexidine Gel Adjunctive to Full-mouth Root Planing Assessed by Real-time PCR: A Microbiologic and Clinical Study. J Dent Res Dent Clin Dent Prospects. 2013;7(2):95-101. doi: 10.5681/joddd.2013.017. Epub 2013 May 30. PMID: 23875088; PMCID: PMC3713868.
  30.  Matesanz P, Herrera D, Echeverría A, O’Connor A, González I, Sanz M. A randomized clinical trial on the clinical and microbiological efficacy of a xanthan gel with chlorhexidine for subgingival use. Clin Oral Investig. 2013 Jan;17(1):55-66. doi: 10.1007/s00784-012-0685-5. Epub 2012 Feb 16. PMID: 22350036.
  31.  Trombelli et all, Plaque-induced gingivitis: Case definition and diagnostic considerations J Cain Periodontol, 2017 DOI: 10.1002/JPER.17-0576.
  32.  D.D. Bosshardt* and N.P. Lang, The Junctional Epithelium: from Health to Disease, J Dent Res 84(1):9-20, 2005.
  33.  Heitz-Mayfield LJA, Salvi GE. Peri-implant mucositis. J Periodontol. 2018;89(Suppl 1):S257-s266.
  34.  Jepsen S, et al. Primary prevention of peri-implantitis: managing peri- implant mucositis. J Clin Periodontol. 2015;42(Suppl 16):S152–7.
  35.  Derks J, et al. Peri-implantitis - onset and pattern of progression. J Clin Periodontol. 2016;43(4):383–8.
  36.  Salvi GE, et al. Reversibility of experimental peri-implant mucositis compared with experimental gingivitis in humans. Clin Oral Implants Res. 2012;23(2):182–90.
Pubblicato il 16 ott 2023
mark_email_read

Iscriviti alla Newsletter

Lasciaci la tua mail, ti terremo aggiornato su tutte le novità e le offerte di Ghimas

Inserendo la tua e-mail, acconsenti a ricevere le comunicazioni di Ghimas in merito a prodotti, novità e servizi del brand. Per maggiori informazioni clicca qui.
Informativa

Noi e terze parti selezionate (come ad esempio Google, Facebook, LinkedIn, ecc.) utilizziamo cookie o tecnologie simili per finalità tecniche e, con il tuo consenso, anche per altre finalità come ad esempio per mostrati annunci personalizzati e non personalizzati più utili per te, come specificato nella .
Chiudendo questo banner con la crocetta o cliccando su "Rifiuta", verranno utilizzati solamente cookie tecnici. Se vuoi selezionare i cookie da installare, clicca su "Personalizza". Se preferisci, puoi acconsentire all'utilizzo di tutti i cookie, anche diversi da quelli tecnici, cliccando su "Accetta tutti". In qualsiasi momento potrai modificare la scelta effettuata.